体に優しい
セラミック治療
Aesthetic

  1. 神の前歯科医院 ホーム
  2. 体に優しいセラミック治療

見た目だけでない、
長くよく噛める機能を
持つセラミックによる治療

見た目だけでない、長くよく噛める機能を持つセラミックによる治療

保険診療の金属を使用した修復物(詰め物や被せ物)は、見た目が良くないうえに、経年的に金属イオンが溶け出して歯ぐきが黒ずんだり、アレルギーが引き起こされたりすることがあります。
患者さまの大切な体に負担をかけないためにも、セラミック治療を選択しませんか? セラミック製の修復物なら、白く自然な見た目に仕上がるだけでなく、生体との親和性が高いため、歯ぐきの黒ずみやアレルギーが起こる心配はありません。
また、セラミック製の修復物は変色や劣化にも強く、むし歯の再発もしにくいため、長期的にお口の環境をよい状態に保つことができます。
いま入っている銀歯をセラミックに替えることもできますので、お気軽にご相談ください。

セラミックによる治療のメリット

セラミックによる治療のメリット

  • 銀歯のように噛む力や熱などによる歪みが生じにくい
  • 劣化しにくい良質な接着剤を使用できるため、すき間ができにくい
  • アレルギーを引き起こしにくい
  • 白く透明感のある自然な見た目に仕上がる
  • 変色や劣化がしにくい

セレックシステムによるセラミック治療

  • 早い最短90分

  • 良質で
    長持ち

  • メタル
    フリー

  • 天然歯に
    近い輝き

『セレックシステム』とは、セラミック製の修復物をコンピューター制御によって最短90分で設計・作製できるCAD/CAMシステムです。歯科技工士の作業時間を大幅に削減し、患者さまの経済的負担に配慮した価格でのセラミック治療を実現します。
セレックシステムでは、コンピューター画面上で設計を行ない、そのデータをもとに専用のマシンでセラミックブロックを削り出して修復物を作製します。
セラミックブロックは、さまざまな色から患者さんの歯になじむ色を選択することで、より自然で美しい仕上がりになります。
使用するセラミックは天然歯に近い硬さなので、噛み合う歯に負担をかけません。また、金属を一切使用しないため、金属アレルギーの方でも安心です。

セレックによる治療の特徴

3D光学カメラによる歯型取りで、お口の不快感が軽減される

3D光学カメラによる歯型取りで、
お口の不快感が軽減される

セレックシステムでは、詰め物や被せ物で修復する患部を3D光学カメラでスキャンすることによって歯型を取れるため、従来のシリコン印象材を使った歯型取りのようなお口の不快感はほとんどありません。
※症例によってはシリコン印象材による歯型取りが必要な場合もあります。

コンピューター上で詰め物や被せ物を綿密に設計できる

コンピューター上で詰め物や
被せ物を綿密に設計できる

3D光学カメラで患部をスキャンすると、すぐに患部の歯列がコンピューター画面上に立体画像で再現されます。セレックシステムでは、この画像データをもとにコンピューターで詰め物や被せ物を設計し、綿密に形態や噛み合わせの調整を行なえます。

より精密な詰め物や被せ物が作製できる

より精密な詰め物や被せ物が
作製できる

コンピューターで設計したデータをもとに、ミリングマシンと呼ばれるコンピューター制御で動く機械でセラミックブロックをミクロン単位の精度で削り出すことにより、精密な詰め物や被せ物を作製できます。

1日で治療ができる『セレック ワンデイ トリートメント』の流れ

  • STEP 01

    ご来院・受付

    ご来院・受付

    ※完全お約束制

  • STEP 02

    術前診査・診断

    術前診査・診断

  • STEP 03

    術前

    術前

  • STEP 04

    診断結果説明

    診断結果説明

  • STEP 05

    麻酔・支台歯形成

    麻酔・支台歯形成

  • STEP 06

    3D光学カメラで口腔内を撮影(スキャン)

    3D光学カメラで
    口腔内を撮影
    (スキャン)

  • STEP 07

    3D画面上で修復物を設計

    3D画面上で修復物を設計

  • STEP 08

    色合わせ・セラミックブロック選定

    色合わせ・
    セラミックブロック選定

  • STEP 09

    セレックにセラミックブロックをセットし、削り出し

    セレックに
    セラミックブロックをセットし、削り出し

  • STEP 10

    セラミック試適・噛み合わせ確認・調整

    セラミック試適・
    噛み合わせ確認・調整

  • STEP 11

    口腔内へセット・治療完了

    口腔内へセット・治療完了

  • STEP 12

    お会計

    お会計

そのほかの白い詰め物・被せ物治療

お口の中の状況に応じて、
患者さんにあった治療方法をご提案します。

ジルコニアオールセラミック 硬質レジン(保険)
酸化ジルコニウムを安定化させたセラミック素材製の修復物で、金属は一切使用しません。人の歯の状態は十人十色でそれぞれ異なります。ジルコニアオールセラミック製の修復物は、歯科技工士が患者さんに合わせて陶材を配合し、オリジナルの修復物をフルオーダーで作製します。患者さんに納得いただけるまで調整しますので、お口にセットするまでに2週間ほどお時間をいただきます。 硬いプラスチックのような複合樹脂製の白い修復物です。保険適用の治療で使用されます。
※保険適用の素材であるため、色調の細やかな調整などは難しい場合があります。
ジルコニアオールセラミック 酸化ジルコニウムを安定化させたセラミック素材製の修復物で、金属は一切使用しません。人の歯の状態は十人十色でそれぞれ異なります。ジルコニアオールセラミック製の修復物は、歯科技工士が患者さんに合わせて陶材を配合し、オリジナルの修復物をフルオーダーで作製します。患者さんに納得いただけるまで調整しますので、お口にセットするまでに2週間ほどお時間をいただきます。
硬質レジン(保険) 硬いプラスチックのような複合樹脂製の白い修復物です。保険適用の治療で使用されます。
※保険適用の素材であるため、色調の細やかな調整などは難しい場合があります。

セレックによるセラミック治療との比較

ジルコニアオールセラミック セレックによるセラミック 硬質レジン(保険)
ジルコニアオールセラミック
セレックによるセラミック
硬質レジン(保険)
修復物の特徴 白い金属とも呼ばれるジルコニアをベースに歯科技工士が素材を築盛して作製します。 コンピューター制御で削り出すため、短時間・経済的負担に配慮した価格でご提供できます。 硬いプラスチックのような複合樹脂でできています。保険適用で広く使用されています。
当院での
治療の特徴
オーダーメイドのため、ご自分の歯の特徴に似せて色調などを調整できます。 修復物の特徴:担当技工士が、色調から形態まで、患者さんのご希望をお伺いし作製します。 患者さんの歯の色にできる限り近い色調を歯科医師が選択し作製します。
審美持続

★★★★★

★★★★★

生体親和性

★★★★★

★★★★★

製作期間

2週間

90分〜1日

1週間

ジルコニアオールセラミック
ジルコニアオールセラミック
修復物の
特徴
白い金属とも呼ばれるジルコニアをベースに歯科技工士が素材を築盛して作製します。
当院での
治療の特徴
オーダーメイドのため、ご自分の歯の特徴に似せて色調などを調整できます。
審美持続

★★★★★

生体親和性

★★★★★

製作期間

2週間

セレックによるセラミック
セレックによるセラミック
修復物の
特徴
コンピューター制御で削り出すため、短時間・経済的負担に配慮した価格でご提供できます。
当院での
治療の特徴
修復物の特徴:担当技工士が、色調から形態まで、患者さんのご希望をお伺いし作製します。
審美持続

★★★★★

生体親和性

★★★★★

製作期間

90分〜1日

硬質レジン(保険)
硬質レジン(保険)
修復物の
特徴
硬いプラスチックのような複合樹脂でできています。保険適用で広く使用されています。
当院での
治療の特徴
患者さんの歯の色にできる限り近い色調を歯科医師が選択し作製します。
審美持続

生体親和性

製作期間

1週間

■歯科技工室設置型コンピュータ支援設計・製造ユニット セレックMCXLプレミアム

医療機器届出番号 13B1X10236S10003

  • セラミックを用いた治療は、自費診療となり健康保険対象外です。
  • 金属単体の詰め物・被せ物より形成量(削る量)が若干多くなる場合があります。
  • フルメタルやジルコニアに比べると強度が落ちます。
  • 硬いものを噛むと割れたり、欠けたりすることがあります。

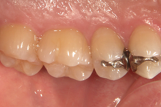
治療症例

右奥歯2本の銀歯を1DAYセレックトリートメント

年齢 20代 性別 男性
治療
期間
120分(即日) 費用 1本5万円(税別)×2本
治療
内容の
詳細
【主訴】過去にむし歯治療で詰めたメタルインレーのところが2次う蝕になり痛い
【治療法】生活歯の為、麻酔の回数を減らし、仮歯不要の汚染防止になる1DAYトリートメント法
【メリット】金属と異なり、セレックにはレントゲン透過性があるので2次う蝕の早期発見になる
治療に
おける
リスク・副作用
ご自身の歯を残す部分的被覆の為、セレック以外の天然歯のプラークコントロール管理が必要
  • 治療前

    治療前
  • 治療後

    治療後
  • 治療前

    治療前
  • 治療後

    治療後
  • 治療前

    治療前
  • 治療後

    治療後

左前歯1本の変色したレジン修復物をセレックに

年齢 20代 性別 女性
治療
期間
約2日(通常1週間頂く処置ですが遠方の方の為、翌日にセットできるようなスケジュールに変更※1) 費用 5万円(税別)※2
治療
内容の
詳細

【主訴】過去に転倒破損し、他院で修理した硬質レジン修復の部分が変色し、形も気になる
【治療法】審美に関わる前歯の為、通常通りの型どりを行ない、技工士による模型上の形態回復ののち、セレックに置き換える2DAYトリートメント法(この方は隣在歯に白濁があったため、本人の希望により別途1万のキャラクタライジング加工も行ないました)
【メリット】これまでのハンドメイドオールセラミック治療と同じように技工士が塾考した形態のセラミックの被せ物ができる

※1 アポイントスケジュールの臨機応変対応は当院に歯科技工士が常駐在籍しているので可能です。
※2 より個性的な色調の方にはキャラクタライジング加工を別途1万円~施すことも可能です

治療に
おける
リスク・副作用
数日仮歯で過ごしていただくため、前歯での食事に気を付けていただく
  • 治療前

    治療前
  • 治療後

    治療後

骨治癒の症例

年齢 40代 性別 女性
治療
期間
180分(即日) 費用 1本5万円×2(税別)
治療
内容の
詳細
【主訴】奥歯の歯茎が腫れている。
【治療法】不適な被せ物を除去し、被せ物の種類と性質の説明を行った上で本人の希望もあり臼歯2歯をセレックにて治療。
【経過】セレック治療から3年後にメインテナンス時に撮影したレントゲン写真と口腔内写真を見ると、矢印部の歯肉が引き締まり、歯槽骨(歯を支える顎の骨)の改善が認められる。
【メリット】メタルと比較してセレック(セラミック)は表面が滑沢なため歯垢が付着しにくい。
治療に
おける
リスク・副作用
根の治療を行う間、舌で触ったり固いものを噛んだりしないよう注意していただく。
  • 治療前

    骨治癒 治療前01-01
  • 治療後

    骨治癒 治療後01-02
  • 治療前

    骨治癒 治療前02-01
  • 治療後

    骨治癒 治療前02-02

審美的な歯科治療におけるリスク・副作用

詰め物・被せ物

  • より高い審美性と機能性を追求する診療であり、健康保険は適用されないため、保険適用で治療する場合と比較すると治療費は高額になります。
  • 歯ぎしりや食いしばりなどの癖がある場合や、噛み合わせがよくない場合には、修復物が割れたり欠けてしまったりする場合があります。
  • セラミック製の修復物による治療は、金属製の修復物で治療する場合よりも歯を削る量が多くなることがあります。
  • 審美的な歯科治療を行なう前に、歯の神経の治療や被せ物の土台の処置を行なう場合があります。
  • 加齢などによって歯ぐきが退縮することにより、被せ物などの見た目に支障が生じるようになると、再治療が必要になる場合があります。